根管治療 治療例

根管治療とは歯の根の治療のことです。(歯根治療・歯の根っこの治療)

このサイトは歯の根の治療の専門医を紹介しております。

根管治療ナビ
power of endodontics

都道府県別で探す


根管治療ナビ



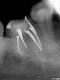
症例 24. リッジ
下顎右側第一大臼歯の遠心舌側根にリッジが起こっている症例


抜歯しない治療 症例24 リッジ
抜歯しない治療 症例24 リッジ
抜歯しない治療 症例24 リッジ
抜歯しない治療 症例24 リッジ
治療前
治療中
治療中
治療後




根管治療を受けられるクリニック
根管治療を受けられるクリニック北海道 青森県 岩手県 宮城県 秋田県 山形県 福島県 茨城県 群馬県 栃木県 埼玉県 千葉県 東京都 神奈川県 新潟県 山梨県 長野県 富山県 石川県 福井県 岐阜県 静岡県 愛知県 三重県 滋賀県 京都府 大阪府 兵庫県 奈良県 和歌山県 徳島県 香川県 愛媛県 高知県 鳥取県 島根県 岡山県 広島県 山口県 福岡県 佐賀県 長崎県 熊本県 大分県 宮崎県 鹿児島県 沖縄県
根管治療とは
根管治療とは歯の根っこの治療のことで、歯の神経が入っている管を治すために行う処置、または歯の根の先の膿袋の治療を行うことをいいます。





Copyright © 2011 Konkanchiryo Navi. All rights reserved. Powered by ALKjapan 開運の社.

運営:インターネットコンサルティング アルクジャパン