根管治療 治療例
根管治療とは歯の根の治療のことです。(歯根治療・歯の根っこの治療)
このサイトは歯の根の治療の専門医を紹介しております。
HOME
根管治療とは
こんな方におすすめです
治療例
セミナー・学会レポート
根管治療を受けられるクリニック
LINK
都道府県別で探す
北海道
青森
岩手
宮城
秋田
山形
福島
東京
神奈川
埼玉
千葉
茨城
群馬
栃木
山梨
長野
新潟
富山
石川
福井
静岡
愛知
三重
岐阜
大阪
京都
滋賀
兵庫
奈良
和歌山
岡山
広島
山口
鳥取
島根
徳島
香川
愛媛
高知
福岡
佐賀
長崎
大分
熊本
宮崎
鹿児島
沖縄
www.endodontics.jp
治療例
>
HOME
症例 4.
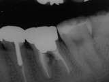
根管内に穿孔が2カ所あったケース
歯茎の腫脹及び咬むと痛みが出るため受診。スクリュウータイプの土台が根っこの内側の薄い部分に穿孔している。不注意な土台形成に起因している。
このような根っこが分岐している所での穿孔は予後が悪く治療難易度が非常に高い。
しかし、
マイクロスコープ
とMTA(修復材料)を使用することにより今までは抜歯になっていた症例もこのように抜かずに保存することが可能になった。
治療前
治療中
治療後
補綴後
治療後8年目
根っこが分岐している所に骨の再生が確認できる
YouTube
|
動画ナビ
症例提供 :
ユーズ大阪歯科医院
〒556-0021
大阪・湊町リバープレイス・なんばHatchより西へ徒歩3分。
TEL:06-6567-6181
←
ユーズ大阪歯科医院携帯サイト
治療例top
|
症例1
|
症例2
|
症例3
|
症例4
|
症例5
|
症例6
|
症例7
|
症例8
|
症例9
|
症例10
|
症例11
|
症例12
|
症例13
|
症例14
|
症例15
|
症例16
|
症例17
|
症例18
|
症例19
|
症例20
|
症例21
|
症例22
|
症例23
|
症例24
|
症例25
|
症例26
|
症例27
根管治療を受けられるクリニック
北海道
青森県
岩手県
宮城県
秋田県
山形県
福島県
茨城県
群馬県
栃木県
埼玉県
千葉県
東京都
神奈川県
新潟県
山梨県
長野県
富山県
石川県
福井県
岐阜県
静岡県
愛知県
三重県
滋賀県
京都府
大阪府
兵庫県
奈良県
和歌山県
徳島県
香川県
愛媛県
高知県
鳥取県
島根県
岡山県
広島県
山口県
福岡県
佐賀県
長崎県
熊本県
大分県
宮崎県
鹿児島県
沖縄県
根管治療とは
歯の根っこの治療のことで、歯の神経が入っている管を治すために行う処置、または歯の根の先の膿袋の治療を行うことをいいます。
HOME
|
根管治療とは
|
こんな方におすすめです
|
治療例
|
セミナー・学会レポート
|
根管治療を受けられるクリニック
登録(無料)
|
広告掲載
|
当サイトについて
|
お問い合わせ
|
LINK
歯科医院ナビ
根管治療ナビ
東横線沿線歯科医院ナビ
美容歯科ナビ
審美歯科ナビ
歯のホワイトニングNavi
インプラントNavi
東京インプラントNavi
大阪インプラントNavi
インプラント認定医ナビ
矯正歯科ナビ
東京矯正歯科Navi
大阪矯正歯科Navi
マウスピース矯正Navi
大阪歯科医院ナビ
歯科医院求人情報
耳鼻咽喉科ナビ
美容外科ナビ
マッサージNavi
鍼灸院ナビ
整体院ナビ
美容整体ナビ
エステサロンナビ
東京エステサロンNavi
フェイシャルエステNavi
脱毛LINK
結婚式場ナビ
結婚相談ナビ
ヘアーサロンナビ
ヒーリングNet
パワースポットNavi
開運の社
銀座Navi
動画ナビ
フレンドブック
根管治療ナビ
Copyright © 2011 Konkanchiryo Navi. All rights reserved. Powered by
ALKjapan
開運の社
.
運営:
インターネットコンサルティング アルクジャパン